虫歯がなくても、恐ろしい・・・
こんにちは(*^_^*)
衛生士の川西です。
海外出張が多い為、ホワイトニングに興味をもたれて
来院された患者様。
もともと、虫歯になりにくい歯質なのか
最近は歯科医院にかかったこともないとの事。
当医院のホワイトニングは施術前にレントゲン検査、歯周病検査
虫歯チェックと全てしますので
ついでに口腔内も全てチェック!
処置歯もほとんどなく、虫歯もなかったのですが
歯の周りが、ぐるりと歯石で覆われていて
歯ぐきも歯石による炎症がありました。

ご本人いわく、歯ブラシ時に出血があったとのこと。
さっそく歯石除去を行ったところ、なんと
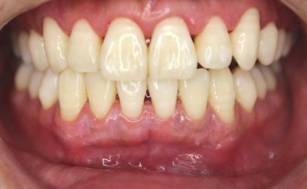
歯と歯の間にブラックトライアングルが出来てしまいました。
(写真の歯と歯の間の隙間の事です)

今後、これ以上歯周病が進行しない様に
今は、毎週通って頂いてご本人にもお家でのブラッシングも
頑張ってもらっています。
ホワイトニングで歯が白いくなり、喫煙によるメラニン色素で
歯肉の黒ずみも気になってきて、ガムピーリングもされ
健康なピンクの歯ぐきを取り戻されました。
今回の来院をきっかけに、禁煙されるそうです。
歯は健康のバロメーターですよね(^-^)
皆さんもお口の中は健康でしょうか?