2014年5月の記事一覧|ブログ|大阪でインプラントなら安田歯科医院 – 池田駅より徒歩2分
安田歯科医院・池田インプラント
Yasuda Dental Clinic・Ikeda Implant
月・火・水・金 9:30~12:30/14:00~18:00土 9:30~12:30/14:00~17:30※休診日:木曜・日曜・祝日
072-754-0110
カウンセリング問い合わせ
Menu
インプラント治療
インプラント治療とは
当院のインプラント治療
即時荷重インプラント
骨の少ない方への治療
All-on-4/6
無料カウンセリング・メール相談
※電話受付時間:平日9時~18時 土曜9時~17時半
Blog
ブログ
こんにちは。受付の小西です。 2月の終わりに前歯のインプラント手術をされた方のインプラント上部が 完成しました。 …
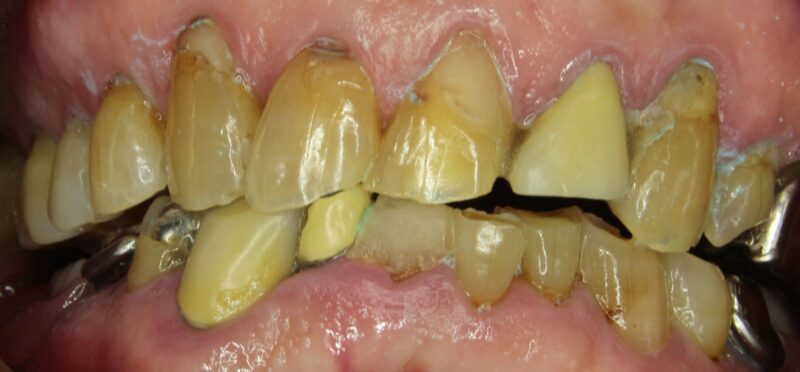
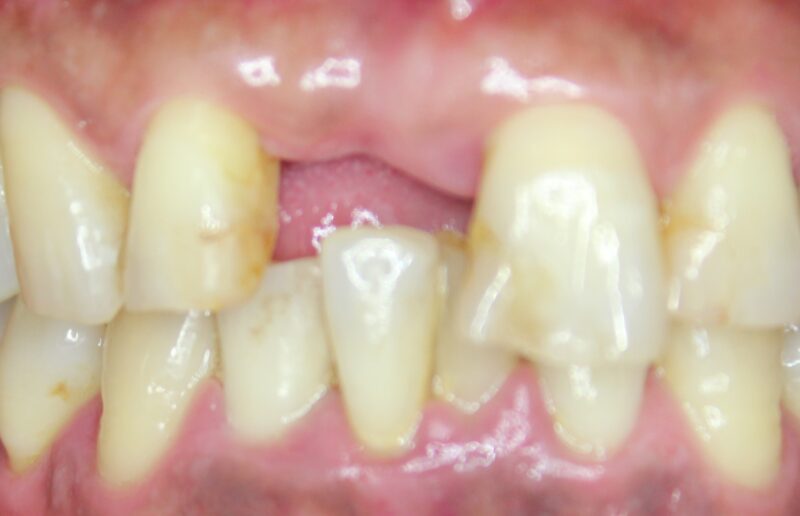
こんにちは。歯科衛生士の川西です。 3月に左上の歯が欠けたと来院された患者様が、 本日で治療がひと段落されました。 …