2014年3月の記事一覧|ブログ|大阪でインプラントなら安田歯科医院 – 池田駅より徒歩2分
安田歯科医院・池田インプラント
Yasuda Dental Clinic・Ikeda Implant
月・火・水・金 9:30~12:30/14:00~18:00土 9:30~12:30/14:00~17:30※休診日:木曜・日曜・祝日
072-754-0110
カウンセリング問い合わせ
Menu
インプラント治療
インプラント治療とは
当院のインプラント治療
即時荷重インプラント
骨の少ない方への治療
All-on-4/6
無料カウンセリング・メール相談
※電話受付時間:平日9時~18時 土曜9時~17時半
Blog
ブログ
受付の小西です。 暖かくなったり、寒くなったり気温の差は激しいですが 春はもう、すぐそこまで来ている感じですね(*^…
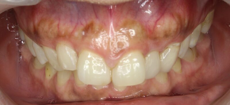
こんにちは。衛生士の川西です。 先日3回コースでホワイトニングを終わられた患者さんなのですが、 「歯が白くなって、歯…