2014年8月の記事一覧|ブログ|大阪でインプラントなら安田歯科医院 – 池田駅より徒歩2分
安田歯科医院・池田インプラント
Yasuda Dental Clinic・Ikeda Implant
月・火・水・金 9:30~12:30/14:00~18:00土 9:30~12:30/14:00~17:30※休診日:木曜・日曜・祝日
072-754-0110
カウンセリング問い合わせ
Menu
インプラント治療
インプラント治療とは
当院のインプラント治療
即時荷重インプラント
骨の少ない方への治療
All-on-4/6
無料カウンセリング・メール相談
※電話受付時間:平日9時~18時 土曜9時~17時半
Blog
ブログ
こんにちは(*^_^*)衛生士の川西です。 先日、結婚式前と言うことでホワイトニング希望で来院された患者様。 衣装合…
こんにちは。歯科衛生士の川西です。 インプラントのオペを終わられて、インプラントの上部が入るまでに ホワイトニングを…
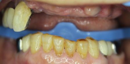
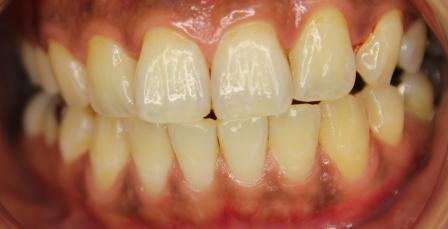
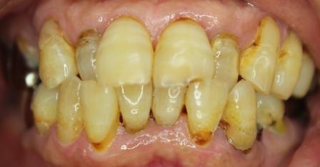
こんにちは(^-^)受付の小西です。 まずは下の写真をご覧ください。 60代の女性の方です。 初めて来院さ…