始まりは一般治療から
こんにちは(^-^)受付の小西です。
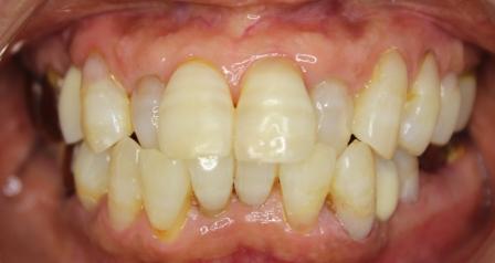
まずは下の写真をご覧ください。


60代の女性の方です。
初めて来院された当初は極度の怖がりと言うことだったので
少しずつ治療に慣れて頂いて、一般治療→インプラント手術→審美治療
全て完了しました。
向かって左上4番と右下4番はインプラント。
インプラントの手術が終わって上部が入るまでの期間にホワイトニングをして
ある程度、白くなってから向かって右上1番は切端がかけていたのでグラディアにてMI治療、
その他、歯と歯ぐきの境目も詰め物をしています。
篤史先生→院長先生冶→DH橋本、DH川西→麗子先生と
みんなで連携して、ここまで綺麗になりました❤
最近、インプラント上部が入るまでの期間にホワイトニングをされる方が増えています。
そのあたりの詳しいお話は、近々DH川西がブログをUPすると思いますので
お楽しみに(*^_^*)