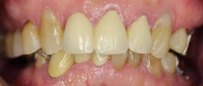
こんなに綺麗になりました❤
こんにちは。歯科衛生士の川西です。
3月に左上の歯が欠けたと来院された患者様が、
本日で治療がひと段落されました。
来院された初診日のコンサルで「欠けたところ以外にも
治療が必要ならお願いします。」
との事でした。
自費治療と保険治療で、審美と噛み合わせの治療を提案してみると
「全てお任せします。」と言ってくださったので治療計画をたてました。
まず、ホワイトニングで全体のシェード(色)を白くし、
摩耗していた前歯を保険で治療し、左上の欠けていた歯は、
犬歯の隣の歯で笑うと見える部位だったので、
セレックによる白い歯で治療しました。
患者様はいつも治療が終わると、品よく笑顔で「ありがとう。」と言って
帰って行かれるのですが
その笑顔が嬉しくて、私も患者様の口腔内が少しずつ綺麗になっていく過程が
楽しみになっていました。
今日治療を終えられて、いつもの笑顔で「ありがとう。
これからも定期検診でお世話になりますよ。」
と言ってくださった事が、本当に嬉しかったです。
これからも患者様の口腔内を末長くサポートさせて頂きたいと思います(*^_^*)
※下の画像は初診時と治療後です。
(78歳男性、本人の了承を得て画像をUPしています。)


差し入れにケーキを頂きました。
麗子先生と、ご馳走様でした❤
