ガムピーリングでピンク歯肉
受付の小西です。
暖かくなったり、寒くなったり気温の差は激しいですが
春はもう、すぐそこまで来ている感じですね(*^。^*)
春といえば、今年の春はピンクのメイクが主流になるということで
私も、さっそく、ピンクの口紅を購入して愛用しています。
つけただけで、気分はすっかり春モードの私(笑)
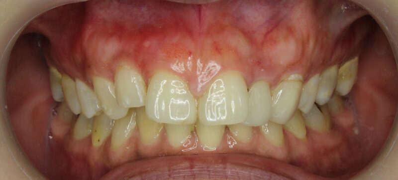
ピンクついでにもう一つ、審美のお話です。
先日歯ぐきの黒ずみが気になるという方が
ガムピーリングをされました。
所要時間数分、専用の薬液を塗布するだけの簡単な方法で
痛みもないそうです。
一週間くらい間隔をあけて、二度塗布しました。
結果、こんなに綺麗なピンク色の歯ぐきになりました。
歯ぐきの黒ずみでお悩みの方、吉報です。
お値段は片顎、10000円と消費税です。
近々、HPのガムピーリングの欄に詳細をUP予定です。

