アンチエイジングから身体にいいものまで・・・
受付の小西です。
「年齢をとると、なんやかんやとお金がかかるわ・・・。」
先日60代の患者さんがつぶやいていた一言です。
うん、うん、納得。
若い時は、そのままで十分に綺麗だし若さでカバーできるけれど
年齢と共に、いろいろな所に投資をしなければいけなくなるから
時間もお金もかかって大変ですよね。
髪の毛にしても、だんだんこしはなくなるし、白髪も増えてきて
美容室に行く頻度も増えるし、歯も加齢と共に黄色くなってきて
ホワイトニングをしてみたり
かと思うと、加齢と共にしみやほくろも増えてきたので、
今はレーザーで簡単に取れる時代だから、とりましょうとか…。
本当に欲望はつきなく、アンチエイジング路線をまっしぐら(笑)
当医院でも、最近は審美を希望される方がとても多く
特に手軽にできるホワイトニングは人気です。
銀色の歯を白い歯に換えるセレックやグラディアなどを
される方も多いです。
同世代の方や年配の方が、審美治療をされて綺麗になって
喜んで帰っていただけると、気持が分かりすぎて(笑)
とても嬉しく思います。
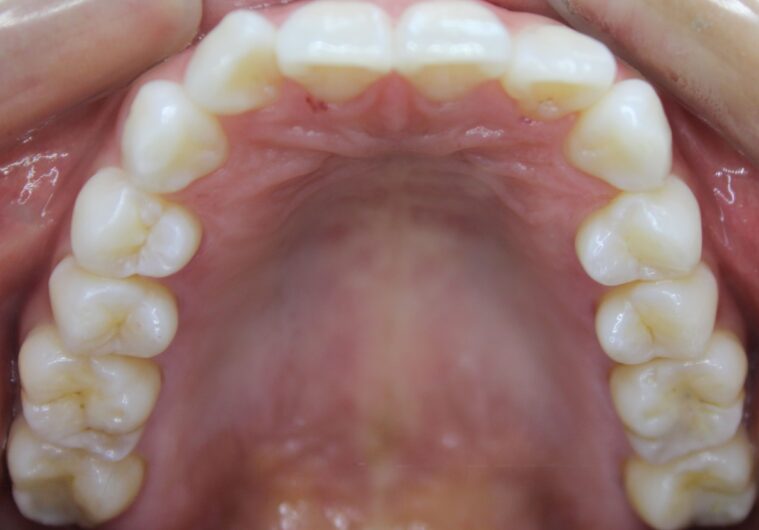
審美以外にも、アマルガム除去も最近はお薦めしています。
下の画像は、先日アマルガム充填をグラディア充填に換えた方の画像です。
こちらは審美というよりも、ご自身の身体の為にお薦めしている治療です。
アマルガムの成分である水銀が、アレルギーの原因になったり
水銀中毒症なるものもあるようです。
グラディア充填によって、身体にもよくて、見た目も綺麗なら言うことないですね。
ちなみにグラディアとは、硬質レジンで保険のレジンよりも着色しにくく
綺麗に修復出来るので、お勧めです。

