Blog

ブログ

ブログ一覧

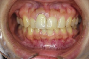
テトラサイクリン変色歯

テトラサイクリン変色歯

皆さん、こんにちは。歯科衛生士の川西です。 年末から年始にかけて、インプラント手術、審美、虫歯治療と毎日忙しく 予約…

根管治療器Smart plus

根管治療器Smart plus

お久しぶりです。院長です。 かなり以前に、他医院にて埋入されたインプラントを診てほしいと来院された患者さん。 インプ…

歯科用金属の落とし穴

歯科用金属の落とし穴

勤務医 安田麗子です。最近、「金属アレルギーなので銀歯をはずしてください」といった患者さんが増えています。歯科用金属は保…

歯周病の菌って何者?

歯周病の菌って何者?

こんにちは。歯科医師の安田麗子です。 虫歯の原因菌が「ストレプトコッカス・ミュータンス」というのはよく知られていますが…

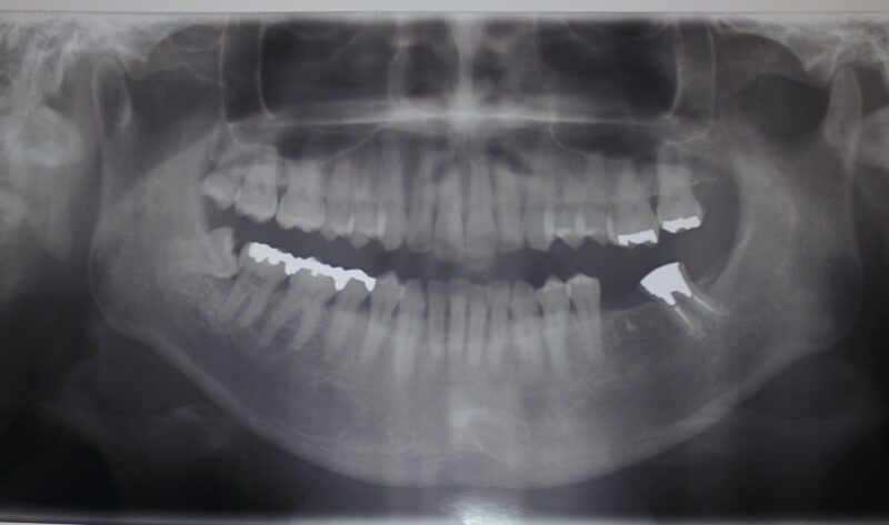
親しらずの抜歯

親しらずの抜歯

こんにちは。受付助手の槇峠です。 季節の変わり目に何度も疼き、時には膿を出し 食事の後には、もれなく食べかすを残して…

歯肉マッサージ

歯肉マッサージ

こんにちは(*^-^*) 歯科衛生士の川西です。 一年に一度のメンテナンスに来院された患者様、 なんと岐阜県から毎…

矯正

矯正

こんにちは(*^-^*)受付の小西です。 以前に加齢と共に増えていく身体のメンテナンスのお話を させていただいたこと…

あいうべ体操

あいうべ体操

こんにちは(*^-^*) 歯科衛生士の田中です。初めてブログを書かせてもらいます。 今回は「あいうべ体操」のお話をさ…

カテゴリー

月別アーカイブ

人気のある記事