インプラントメンテナンスの重要性
こんにちは。勤務医の安田麗子です。
当医院はインプラントの専門医院として長年診療を続けてきたため
毎日たくさんの方がメンテナンスに訪れます。
インプラントも車と一緒で、ネジなどの部品が組みあがってできているため
長年使用すると金属疲労を起こしたり、深部に汚れがたまったり・・定期的
なチェックは欠かせません。車検みたいなものですね!
患者さんによって歯周病になりやすい方、咬合力の強い方、歯磨きが苦手な方など
千差万別です。インプラント(上部)をはずしてみるとそんな患者さんの特徴が
垣間見えたり・・(笑)
たくさんの方に、長くインプラントの歯で快適な口腔環境を維持
していただきたいので、メンテナンスする側も、される側も一生懸命です。

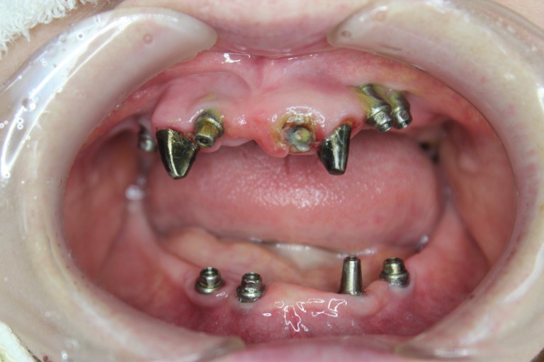
インプラント上部を外した状態

メンテナンスが終わって、綺麗になりました
