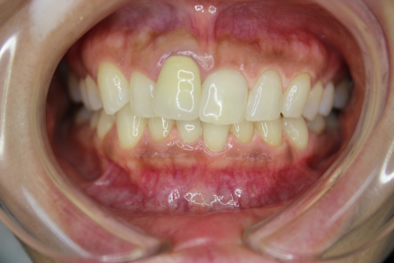
テトラサイクリン変色歯
皆さん、こんにちは。歯科衛生士の川西です。
年末から年始にかけて、インプラント手術、審美、虫歯治療と毎日忙しく
予約もとりにくい状態になっており、ご迷惑をおかけしております( ;∀;)
先日、歯をとにかく白くしたいと来院された患者様の症例を紹介したいと思います。
この方は、テトラサイクリン変色歯で、真っ白の歯にするのには
リスクのある歯質でした。
しかも予約が込み合っていてアポイントの取りにくい状況下でしたが、
患者様の協力もあり、4回コースを施術させて頂き
患者様の理想とする歯の白さにすることが出来ました。
私たちは日々、患者様のために一生懸命
治療に励んでおりますが、患者様の協力なしでは難しいこともあります。
これからも、スタッフ一同皆様の笑顔とお口の健康に貢献出来ますよう
頑張っていきます(*^-^*)
体調を壊しやすい気候になっておりますので
皆さま、体調管理には十分お気を付けください。
Before

After
