歯科用金属の落とし穴
勤務医 安田麗子です。
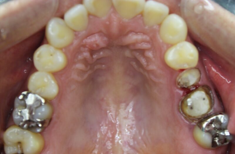
最近、「金属アレルギーなので銀歯をはずしてください」
といった患者さんが増えています。
歯科用金属は保険がきき、安価で手軽に詰められるとあって長く普及されてきました。
しかしながら歯科の治療が保険で受けられるのは日本だけで、海外では金属を歯に詰めることはナンセンスとされています。
見た目に悪いのはもちろんですが、口腔内といった劣悪な環境の中では金属の腐食を起こしてしまうからです。ごく微量でも溶けだした金属成分が長年かけて体に蓄積され、アレルギーを引き起こしてしまいます。
当医院ではセレック、ファイバーポストコアといった「メタルフリー化」に力を注いでいます。特にセレックはセラミックのかぶせ物の中ではかなり安価で、しかも1日でできるとあって患者さんにやさしい治療だと思います。
下の写真はメタルコアを外した後です。
歯の中が黒く酸化しているのがわかります。

下の写真はメタルコアを除去し、ファイバーポストに代えた症例です。
ファイバーポストも技工士いらずでその日のうちに治療が終わります。またメタルと違い、歯根破折を起こしにくいため歯を長持ちさせるといった点でも優れた素材です。
