インプラントアンカースクリュー
勤務医 安田篤史です。
挺出した歯を削らずに治してあげたい!
長年反対側の歯がなく、対になる歯が延びてしまった症例は神経を除去して元の長さまで削られる事が多く行われていますが、
神経もとらず、歯も削らずに、部分矯正で歯を元の
位置までひっぱり戻すことができます。
どうやって戻すのかというと
引っ張るにはロープの代わりになる物と引っ張る人の代わりになる物が必要です。
引っ張るロープは伸縮性のあるゴムを使います。
また、引っ張る人ですがいわゆる「インプラント」に引っ張ってもらいます。
インプラントと言っても普段皆さんがよく見るインプラントとは違います。
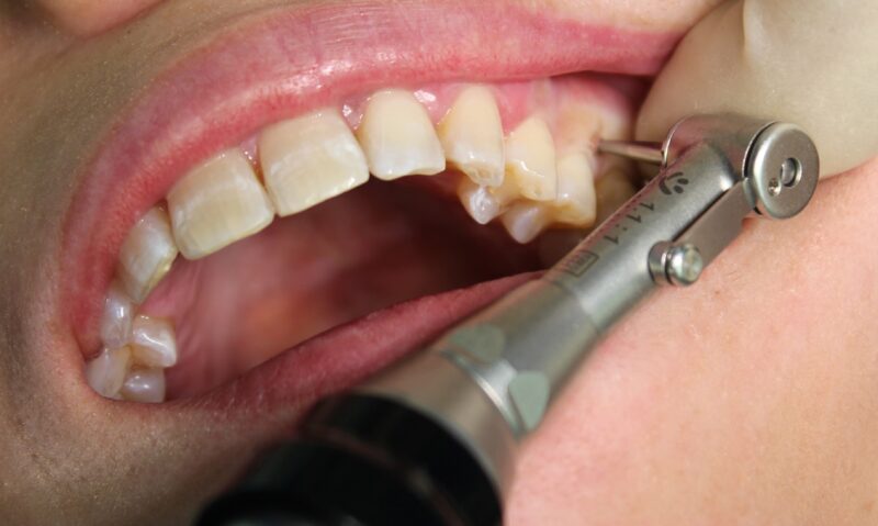
矯正用の小さなネジを打ち込みます。
小さいネジの様なインプラントを歯と歯の間に埋め込み引っ張り、終わったら
取り除くのです。
今回はその、小さいインプラントを埋め込む処置をしました。


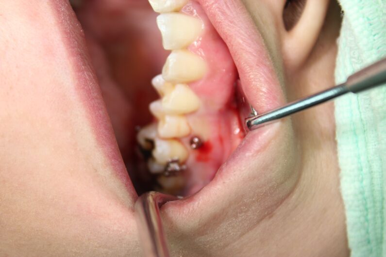
こちらはネジを打ち込んだ後の写真です。


患者さんの反応はというと打ち込んだ後はもやもやした感じだったそうですが
次の日には違和感を感じなくなったそうです。
早く伸びてしまった歯を元の位置に戻して、しっかり噛めるようになりたいですね!